Current trends in the treatment of hypertrophic scars
- Authors: Nogerov A.R.1, Kruglova L.S.1, Gryazeva N.V.1
-
Affiliations:
- Central State Medical Academy of the Presidential Administration of the Russian Federation
- Issue: Vol 21, No 3 (2022)
- Pages: 163-170
- Section: Original studies
- Published: 04.12.2022
- URL: https://rjpbr.com/1681-3456/article/view/115033
- DOI: https://doi.org/10.17816/rjpbr115033
- ID: 115033
Cite item
Abstract
BACKGROUND: The therapeutic arsenal for the treatment of hypertrophic scars and keloids has expanded significantly in recent years. Traditional methods of treatment, such as intraocular injection of corticosteroids, pressure therapy and cryotherapy, are increasingly supplemented with new methods. The level of evidence for treatment approaches has increased due to the development of systematic reviews and national and international recommendations.
AIM: To study the effectiveness of pneumokinetic micro-jet "needle-free" delivery of corticosteroid drug and fluorouracil in hypertrophic scars.
MATERIAL AND METHODS: We observed 23 patients (with hypertrophic scars. The average age was 31.3±4.3 years. The duration of the existence of hypertrophic scars in the average group was 7.8±2.3 months. Previously, patients did not receive therapy for the correction of scars. All patients were treated with intra-cicatricial administration of durant corticosteroid and fluorouracil. The technology of pneumokinetic micro-jet "needle-free" was used.
RESULTS: A high effect was achieved in all patients. Thus, the total Dermatological symptom scale index decreased with localization of the process on the face by 79.1% (p <0.01), with localization on the neck by 81.2% (p <0.01), with localization on the abdomen by 73.4% (p <0.01).
CONCLUSION: The technology of pneumokinetic micro-jet "needle-free" delivery of corticosteroid drug and fluorouracil subdermally can be considered as the method of choice in this category of patients.
Full Text
ОБОСНОВАНИЕ
Рубец представляет собой функциональный дефект замещения кожи в результате травмы, проникающей через эпидермис в дерму. Нормальные послеоперационные рубцы обычно красного цвета, который со временем тускнеет, когда формируется фиброзная ткань. Функционально рубцы менее эластичны, чем здоровая кожа, и в них нет придатков кожи [1].
Гипертрофические рубцы формируются вследствие бесконтрольной пролиферации фибробластов и избыточного формирования экстрацеллюлярного матрикса. Среди основных причин ― генетическая предрасположенность, длительное заживление раны, инфицирование, ожоги. Характерная локализация ― плечи, верхняя часть туловища, уши. Клинически гипертрофический рубец представляет собой пальпируемый узел, приподнятый над уровнем кожи, не выходящий, в отличие от келоидного рубца, за границу первичного повреждения кожи.
Атрофические рубцы формируются вследствие дефицита коллагена и неправильного формирования фиброзной ткани. Они ниже уровня здоровой кожи, и могут быть вызваны как недостаточным уходом за раной, так и ослаблением организма.
Расходящийся шрам является следствием натяжения раны в послеоперационном периоде. Для профилактики нужно плотно соединять края раны во время операции [2]. Использование тонких атравматических инструментов и внутрикожных шовных технологий с моноволокнистым шовным материалом с выворачиванием хорошо обработанных раневых краёв имеет первостепенное значение в профилактике рубцевания. Что касается уже существующих рубцов, то при неэффективности консервативных методов лечения можно попробовать хирургическим путём удлинить, переместить или рассеять рубец, за исключением случаев врождённых келоидов [3].
Инъекция стероидов остаётся основным методом терапии, дешёвым и потому наиболее часто применяемым. Внутриочаговая инъекция стероидов является терапией первой линии для ранних келоидов. Для достижения удовлетворительных результатов обычно достаточно 2–3 инъекций ацетамида триамцинолона в концентрациях от 10 до 40 мг/мл 1 или 2 раза/мес. Так как внутриочаговая инъекция болезненна, требуется хорошая местная анестезия. Эффективность варьирует от 50 до 100% в зависимости от способа инъекции с относительно высокими показателями рецидивов (от 9 до 50%).
Нежелательные эффекты включают атрофию кожи, формирование телеангиэктазий.
Большое преимущество инъекций стероидов в повседневной практике ― в возможности их комбинирования с хирургией и криотерапией. Применение стероидов в виде мази или крема в настоящее время не рекомендуется [4–6].
5-Фторурацил (5-ФУ) ― пиримидиновый аналог, представляет собой цитотоксический антиметаболит, который обладает антипролиферативной способностью, необратимо ингибирует тимидилатсинтазу. 5-ФУ более 20 лет применяется для лечения гипертрофических рубцов и келоидов (эффективность 50%). Первоначально его использовали в качестве монотерапии в дозе от 50 до 150 мг/мл, вводили в основном с недельными интервалами в течение 8–16 нед. Эффекты лечения были более устойчивыми при молодых рубцах и келоидах (менее 5 лет), что указывает на раннее начало терапии 5-ФУ. Побочные эффекты таких больших доз включают боль при введении и после, гиперпигментацию, ощущение жжения, иногда изъязвление. При внутриочаговом введении системных побочных эффектов не наблюдается. Возможны анемия, лейкоцитопения, тромбоцитопения. 5-ФУ не используется при беременности и иммунодефиците. Комбинация 5-ФУ и инъекций стероидов повышает эффективность лечения. Исследования показали, что в культурах клеток триамцинолон супрессирует клеточную пролиферацию в фазе G1, комбинация 5-ФУ и триамцинолона ― в фазе G2, и индуцирует апоптоз с активацией p53 и p21 [7–10], при этом комбинация значительно замедляет клеточную пролиферацию, ограничивает синтез коллагена и выведение матриксной металлопротеиназы 2 (matrix metalloproteinase 2, MMP-2). Уменьшение дозы каждого средства влияет на снижение числа побочных эффектов.
Для коррекции гипертрофических рубцов наиболее часто используют эрбиевый (Er:YAG) и углекислый (CO2) лазеры. Их сравнение у 23 пациентов с гипертрофическими рубцами показало сопоставимые результаты в виде заметного улучшения состояния кожи. В целом CO2-лазер был несколько более эффективным. Аналогичная тенденция обнаружена при шрамах от угревой сыпи. Фракционный CO2-лазер в сравнении с Er:YAG имеет более низкую селективность по отношению к воде и более высокую проникающую способность, обусловливающую микроскопические термические повреждения глубоко в коже, что позволяет ремоделировать коллаген. Шлифовка кожи с помощью СО2 стала также подходящей альтернативой лечению дермабразией при умеренных и тяжёлых шрамах с результатами, которые частично превосходят дермабразию. Большинство неблагоприятных эффектов, таких как кратковременная эритема и отёк, были мягкими и разрешались спонтанно без каких-либо осложнений, что подтверждает безопасность и эффективность применения фракционного CO2-лазера. На молекулярном уровне фракционный СО2 вызывает существенные изменения в ремоделировании коллагена путём прямого изменения типов проколлагенов I и III и индукции ММР, в частности MMP-1. Гистопатологические анализы показали, что фракционная абляция CO2 может восстановить физиологическую коллагеновую архитектуру, сходную со здоровой кожей [11].
Терапевтический арсенал для лечения гипертрофических рубцов и келоидов в последние годы значительно расширился. Традиционные протоколы, такие как внутриочаговая инъекция кортикостероидов, терапия под давлением и криотерапия, дополняются новыми методами лечения. Уровень доказательности подходов к лечению увеличился благодаря разработке систематических обзоров и национальных и международных рекомендаций. Эксперты в этой области всё чаще предпочитают довольно агрессивные режимы, чтобы успешно и на раннем этапе прервать процесс формирования патологического рубца.
Применение комбинированных подходов, как представляется, способствует улучшению клинических и эстетических результатов, что подтверждается результатами последних исследований. В частности, недавно была предложена синергия кортикостероидов и инъекций 5-ФУ [12].
Применение фракционных лазеров в последнее время также продемонстрировало многообещающие результаты. В частности, CO2-лазер может превосходить неаблативные лазеры, поскольку требует меньше сеансов лечения с допустимыми побочными эффектами и высокой безопасностью.
Цель исследования ― изучение эффективности пневмокинетической микроструйной needle-free-доставки дюрантного кортикостероидного препарата и 5-ФУ при гипертрофических рубцах.
МАТЕРИАЛ И МЕТОДЫ
Дизайн исследования
Выполнено проспективное когортное исследование.
Критерии соответствия
Критерии включения: пациенты в возрасте от 18 до 65 лет с верифицированным диагнозом гипертрофических рубцов в стадии формирования; подписанное информированное согласие; высокая комплаентность пациента.
Критерии невключения: гипертрофические рубцы длительностью более одного года; декомпенсированные соматические заболевания; ВИЧ-инфекция; беременность и лактация; злокачественные новообразования; использование любых методов коррекции рубцов.
Условия проведения
Исследование выполнено на базе ООО «Центр современной косметологии Ногеров Клиник» с октября 2021 г. по ноябрь 2022 г.
Описание медицинского вмешательства
Всем пациентам, включённым в исследование (n=23), проводили терапию с помощью внутрирубцового введения дюрантного кортикостероида и 5-ФУ в соотношении 1:1. Использована технология пневмокинетической микроструйной needle-free (аппарат AirGent, Израиль, регистрационный номер ФСЗ 2009/04454) доставки препаратов субдермально. Проводили 2 процедуры с кратностью 1 раз/4 нед.
Методы регистрации исходов
Оценку результатов осуществляли через 4, 8 и 16 нед от начала терапии. Основными показателями эффективности были остановка или замедление роста гипертрофических рубцов, стабилизация процесса с последующим регрессированием клинических симптомов.
Для оценки эффективности проводимой терапии использовали дерматологический индекс шкалы симптомов (ДИШС) с оценкой следующих параметров: конфигурация, окраска, размер (учитывали только высоту рубца, поскольку линейный размер является величиной постоянной, и терапия не влияет на его изменение), контур, рельеф поверхности, консистенция, подвижность по отношению к здоровым тканям, болезненность, зуд. Симптомы оценивали по 4-балльной системе, где 0 баллов ― отсутствие признака, а 3 балла ― симптом сильно выражен (максимальное значение ДИШС ― 27 баллов, минимальное ― 0 баллов).
Проводили также гистологическое исследование биопсийного материала из рубцовой ткани, взятой на границе со здоровой кожей с помощью панч-пробойника, до и после лечения.
Этическая экспертиза
Исследование выполнено с учётом этических норм Хельсинкской декларации Всемирной медицинской ассоциации «Рекомендации для врачей, занимающихся биомедицинскими исследованиями с участием людей».
Статистический анализ
Анализ и обработка статистических данных выполнены на персональном компьютере c использованием пакета программ Statistica 10.0 и применением методов непараметрической статистики Т-критерия Вилкоксона, U-критерия Манна–Уитни.
РЕЗУЛЬТАТЫ И ОБСУЖДЕНИЕ
Объекты (участники) исследования
Под нашим наблюдением находились 23 пациента, из них мужчин было 4, женщин ― 19; средний возраст 31,3±4,3 года. У 17 пациентов патологический процесс был локализован в области живота и груди, у 6 ― в области лица и шеи. Длительность существования гипертрофических рубцов в среднем по группе составила 7,8±2,3 мес (не более 12 мес). Ранее пациенты не получали терапии для коррекции рубцов.
Основные результаты исследования
Суммарный индекс ДИШС продемонстрировал положительную динамику у всех пациентов (рис. 1). Редукция индекса ДИШС после первой процедуры (контрольная точка ― 4 нед) при локализации процесса на лице составила 43,8%: до терапии ― 14,1 [Q1=15,8; Q3=12,9], после процедуры ― 7,9 балла [Q1=9,2; Q3=11,8] (р <0,01); при локализации на шее ― 29,5%: до терапии ― 11,7 [Q1=11,3; Q3=13,5], после процедуры ― 8,2 балла [Q1=7,6; Q3=10,4] (р <0,01); при локализации на животе ― 31,2%: до терапии ― 15,7 [Q1=13,4; Q3=16,7], после процедуры ― 10,8 балла [Q1=10,1; Q3=12,4] (р <0,01).
Рис. 1. Динамика дерматологического индекса шкалы симптомов (ДИШС, балл) у пациентов с гипертрофическими рубцами после пневмокинетического микроструйного введения дюрантного кортикостероида и 5-ФУ (методика needle-free).
Fig. 1. Dynamics of the Dermatological symptom scale index in patients with hypertrophic scars after pneumokinetic microfluidic injection of a durant corticosteroid and fluorouracil (needle-free technique).
Редукция индекса ДИШС после второй процедуры (контрольная точка ― 8 нед) при локализации процесса на лице составила 73,3%: до терапии ― 14,1 [Q1=15,8; Q3=12,9], после процедуры ― 3,6 балла [Q1=2,9; Q3=5,4] (р <0,01); при локализации на шее ― 64,5%: до терапии ― 11,7 [Q1=11,3; Q3=13,5], после процедуры ― 4,15 балла [Q1=3,8; Q3=5,4] (р <0,01); при локализации на животе ― 68,9%: до терапии ― 15,7 [Q1=13,4; Q3=16,7], после процедуры ― 4,9 балла [Q1=4,8; Q3=6,3] (р <0,01).
Отдалённые результаты (16 нед) показали нарастание положительной динамики в отношении всех клинических симптомов гипертрофических рубцов. Так, суммарный ДИШС редуцировал при локализации процесса на лице на 79,1% (р <0,01), на шее ― на 81,2% (р <0,01), на животе ― на 73,4% (р <0,01).
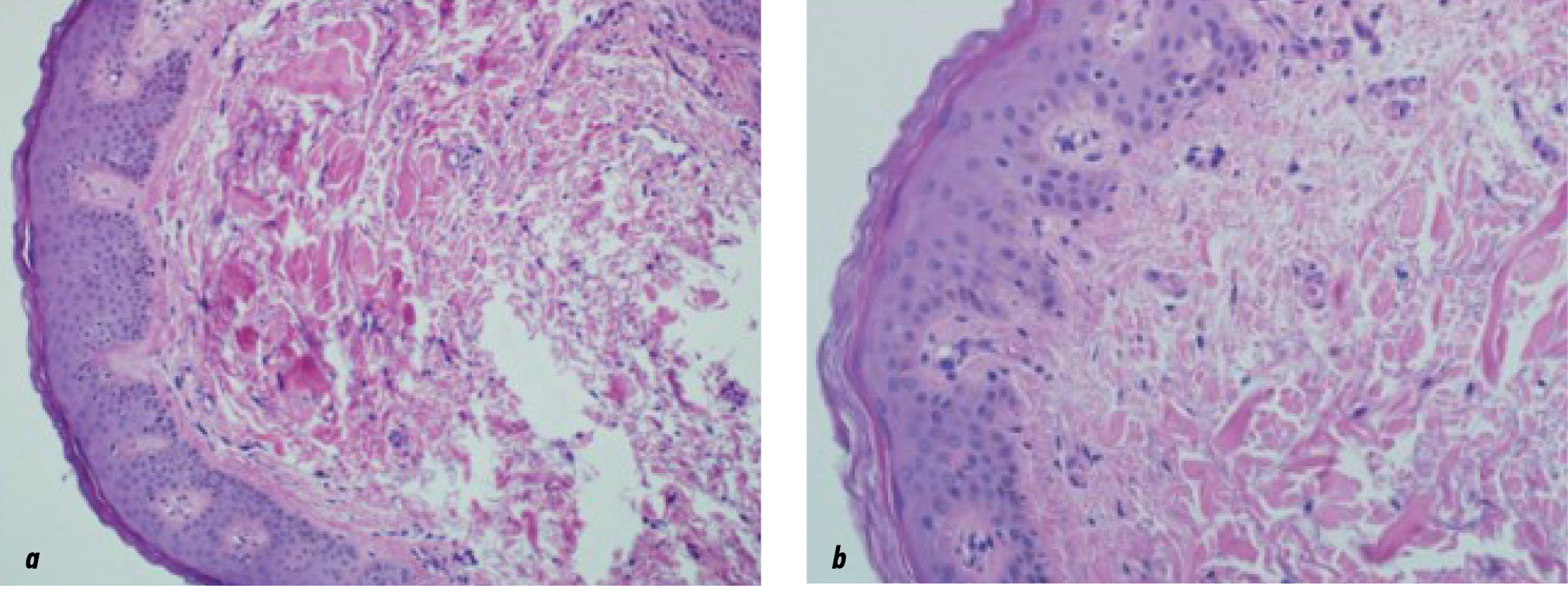
Гистологическое исследование гипертрофических рубцов проводилось пациентам до терапии и спустя 16 нед. Так, до лечения рубцовая ткань характеризовалась наличием большого числа юных и функционально активных фибробластов, миофибробластов, в том числе преобладанием толстых коллагеновых пучков и практически отсутствием эластических структур. После терапии отмечалась нормализация гистологической структуры ткани гипертрофических рубцов, определялись количественное снижение фиброзно изменённой дермы и разрыхление рубцовой ткани, увеличение количества эластических волокон, снижение числа незрелых фибробластов, увеличение количества капилляров (рис. 2).
Рис. 2. Гистологическое исследование формирующегося гипертрофического рубца до (а) и после (b) лечения.
Fig. 2. Histological examination of the forming of hypertrophic scars before (a) and after (b) treatment.
Следует отметить, что у всех пациентов отмечались выраженная положительная динамика (рис. 3), отсутствие нежелательных явлений и хорошая переносимость процедур, что позволяет рекомендовать применение пневмокинетического микроструйного введения дюрантного кортикостероида и 5-ФУ (методика needle-free) у пациентов с гипертрофическими рубцами с длительностью процесса до 1 года и вне зависимости от локализации гипертрофических рубцов.
Рис. 3. Гипертрофические рубцы до (а) и после (b) лечения.
Fig. 3. Hypertrophic scars before (a) and after (b) treatment.
ЗАКЛЮЧЕНИЕ
Гипертрофические рубцы ― одна из наиболее часто встречающихся патологий на приёме у врача-косметолога. Патоморфологические изменения при гипертрофических рубцах характеризуются избыточным количеством незрелой соединительной ткани, достаточно однородной структуры с признаками морфологической зрелости, при этом их рост обусловлен повышением биосинтезирующей активности фибробластов, в связи с чем кортикостероидные препараты в комбинации с 5-ФУ, особенно при «свежих» гипертрофических рубцах (до 1 года длительностью существования), являются наиболее целесообразной опцией лечения данной категории пациентов. Топическое применение данной группы препаратов недостаточно эффективно, а внутрирубцовое введение сопровождается болезненностью и сложностями в технике выполнения процедуры. В этом плане технологию пневмокинетической микроструйной needle-free-доставки препаратов субдермально можно рассматривать методом выбора у данной категории пациентов.
ДОПОЛНИТЕЛЬНАЯ ИНФОРМАЦИЯ / ADDITIONAL INFORMATION
Источник финансирования. Авторы заявляют об отсутствии внешнего финансирования при проведении исследования.
Funding source. The authors declare no external funding for the study.
Конфликт интересов. Авторы декларируют отсутствие явных и потенциальных конфликтов интересов, связанных с публикацией настоящей статьи.
Conflict of interest. The authors declare no obvious and potential conflicts of interest related to the publication of this article.
Вклад авторов. Авторы подтверждают соответствие своего авторства международным критериям ICMJE (все авторы внесли существенный вклад в разработку концепции, проведение исследования и подготовку статьи, прочли и одобрили финальную версию перед публикацией).
Authors' contributions. All authors made a substantial contribution to the conception of the work, acquisition, analysis, interpretation of data for the work, drafting and revising the work, final approval of the version to be published and agree to be accountable for all aspects of the work.
About the authors
Alim R. Nogerov
Central State Medical Academy of the Presidential Administration of the Russian Federation
Email: drnogerov@yandex.ru
ORCID iD: 0000-0001-8182-7293
SPIN-code: 2354-8420
Russian Federation, Moscow
Larisa S. Kruglova
Central State Medical Academy of the Presidential Administration of the Russian Federation
Email: kruglovals@mail.ru
ORCID iD: 0000-0002-8824-1241
SPIN-code: 1107-4372
MD, Dr. Sci. (Med.), Professor
Russian Federation, MoscowNatalia V. Gryazeva
Central State Medical Academy of the Presidential Administration of the Russian Federation
Author for correspondence.
Email: tynrik@yandex.ru
ORCID iD: 0000-0003-3437-5233
SPIN-code: 1309-4668
MD, Cand. Sci. (Med.), Associated Professor
Russian Federation, MoscowReferences
- Gold MH, Berman B, Clementoni MT, et al. Updated international clinical recommendations on scar management: part 1: evaluating the evidence. Dermatol Surg. 2014;40(8):817–824. doi: 10.1111/dsu.0000000000000049
- Eberle FC, Krug M, Breuninger H, Häfner HM. Primary wound closure with tension--tips and tricks. J Dtsch Dermatol Ges. 2013;11(6):558–560. doi: 10.1111/ddg.12088
- Gold MH, McGuire M, Mustoe TA, et al. International advisory panel on scar management. Updated international clinical recommendations on scar management. Part 2: algorithms for scar prevention and treatment. Dermatol Surg. 2014;40(8):825–831. doi: 10.1111/dsu.0000000000000050
- Gauglitz GG, Kunte C. [Recommendations for the prevention and therapy of hypertrophic scars and keloids]. Hautarzt. 2011;62(5):337–346. (In German). doi: 10.1007/s00105-010-2087-4
- Van Leeuwen MC, van der Wal MB, Bulstra AE, et al. Intralesional cryotherapy for treatment of keloid scars: A prospective study. Plast Reconstr Surg. 2015;135(2):580–589. doi: 10.1097/PRS.0000000000000911
- Mustoe TA. Evolution of silicone therapy and mechanism of action in scar management. Aesthetic Plast Surg. 2008;32(1):82–92. doi: 10.1007/s00266-007-9030-9
- Shaarawy E, Hegazy RA, Abdel Hay RM. Intralesional botulinum toxin type A equally effective and better tolerated than intralesional steroid in the treatment of keloids: A randomized controlled trial. J Cosmet Dermatol. 2015;14(2):161–166. doi: 10.1111/jocd.12134
- Lee DH, Choi YS, Min SU, et al. Comparison of a 585-nm pulsed dye laser and a 1064-nm Nd:YAG laser for the treatment of acne scars: A randomized split-face clinical study. J Am Acad Dermatol. 2009;60(5):801–807. doi: 10.1016/j.jaad.2008.11.883
- Koike S, Akaishi S, Nagashima Y, et al. Nd:YAG laser treatment for keloids and hypertrophic scars: An analysis of 102 cases. Plast Reconstr Surg Glob Open. 2014;2(12):e272. doi: 10.1097/GOX.0000000000000231
- Huang L, Cai YJ, Lung I, et al. A study of the combination of triamcinolone and 5-fluorouracil in modulating keloid fibroblasts in vitro. J Plast Reconstr Aesthet Surg. 2013;66(9):e251–e259. doi: 10.1016/j.bjps.2013.06.004
- Choi JE, Oh GN, Kim JY, et al. Ablative fractional laser treatment for hypertrophic scars: Сomparison between Er:YAG and CO2 fractional lasers. J Dermatolog Treat. 2014;25(4):299–303. doi: 10.3109/09546634.2013.782090
- Levine A, De Maria S, Park E, Lawson W. Facial plastic surgery. Springer Science Business Media New York; 2013. doi: 10.1007/978-1-4614-4184-7_12
Supplementary files






