Combination treatment for patients with benign prostatic hyperplasia
- Authors: Loran O.B.1, Zhiborev A.B.2, Gerasimenko M.Y.1, Lukianov I.V.1, Zaytseva T.N.1, Evstigneeva I.S.1
-
Affiliations:
- Russian Medical Academy of Continuous Professional Education
- Ryazan State Medical University
- Issue: Vol 23, No 3 (2024)
- Pages: 135-152
- Section: Review
- Published: 15.12.2024
- URL: https://rjpbr.com/1681-3456/article/view/627525
- DOI: https://doi.org/10.17816/rjpbr627525
- ID: 627525
Cite item
Abstract
The Manual presents the possibilities of using the MAVIT device in the combination treatment of patients with benign prostatic hyperplasia.
The content of the Manual is consistent with the higher education program for training the highest qualification resident physicians and the professional retraining program for physicians (OD.A.03.2.3 Alternating Currents, Electric, Electromagnetic and Magnetic Fields. High, Ultra-High and Extra-High Frequency) in the specialty 31.08.50 “Physiotherapy” and (B.1.B.1.4.5.1 “Physiotherapy in Urology,” B.1.B.1.6.3.5. “Prostatitis”) in the specialty 08/31/68 “Urology”.
The team of authors has, based on the available scientific data and their own clinical observations, summarized the information relative to the use of the MAVIT device in the combination treatment of patients with benign prostatic hyperplasia and outlined its indications and contraindications. The equipments used in performing the procedures are characterized.
This Manual was developed and prepared by the workers of the Chair of Urology with Course of Surgical Diseases of the I. P. Pavlov Ryazan State Medical University jointly with the workers of the chairs of urology, surgical andrology, physical therapy, sports medicine and medical rehabilitation, and the workers of the Research Institute of Molecular and Personalized Therapy of the Federal State Budgetary Educational Institution of Further Professional Education Russian Medical Academy of Continuous Professional Education of the Ministry of Health of Russia in accordance with the system of standards for information, library and publishing.
ICD-10 code: Chapter XXI. Factors influencing health status and contact with health services.
Full Text
BACKGROUND
Benign prostatic hyperplasia (BPH) is a polyetiologic condition developing as a result of proliferation of the periurethral glandular tissue of the prostate gland, leading to the lower urinary tract obstruction [1, 2] (ICD-10 Diagnosis Code N40.0 Hyperplasia of prostate. Enlargement (benign) of prostate).
BPH can develop as early as at the age of 40–50 years. The World Health Organization highlights the high medical and social importance of this condition in connection with the growth of the global population over 60 years, including Russia. The prevalence of BPH has increases from 11.3% at 40–49 years to 81.4% at 80 years. The incidence of BPH increases with age, reaching 90% by the ninth decade of life [3].
Treatment of this disease is a priority area of contemporary urology. However, despite significant advances in the development of conservative and surgical treatments for BPH, it is not always possible to reduce postoperative complications. Diagnosis and treatment of chronic prostatitis in patients with BPH during their preparation for surgical treatment is intended to improve the course of the early and late postoperative period and limit postoperative complications.
The standard preoperative preparation of a patient with BPH should include determination of the BPH stage and diagnosis of comorbid chronic prostatitis in the patient, specifying the category of inflammation and its stage. Depending on the type of inflammation, combination therapy for chronic prostatitis, including antibiotics, alpha-blockers, non-steroidal anti-inflammatory drugs, and physiotherapy, should be prescribed.
Today, the search for new treatments continues, including the use of preformed physical factors as an alternative or complementary to conservative therapy for chronic prostatitis. The preoperative preparation may include combination local physiotherapy using the Russian medical device MAVIT. The Manual describes clinical application of this medical product for chronic prostatitis, including in patients with BPH.
GENERAL DESCRIPTION
It is worth remembering that BPH is a morphological diagnosis; it does not always have its typical clinical manifestations, the so-called lower urinary tract symptoms (LUTS) [4].
In clinical practice, when examining a patient, it should be considered that the volume of the hyperplastic prostate gland does not correlate with the severity of infravesical obstruction [5]. However, the size of BPH is important for choosing a surgical treatment. It is no coincidence that there is a variant of BPH classification based on the prostate gland volume. In particular, it is generally accepted that a prostate volume of up to 25–30 cm3 is within the reference range.
The Guyon’s canal syndrome classification based on the degree of infravesical obstruction is still relevant and used to determine a treatment in Russia. It defines three stages of BPH:
Stage I (compensation) is manifested by dysuria, including the most common symptoms of accumulation (urinary frequency, low urine volume, nocturia, and urinary urgency). The bladder is completely emptied as a result of compensatory detrusor hypertrophy; the residual urine volume does not exceed 50 mL. No significant changes in the upper urinary tract. Depletion of compensatory detrusor ability leads to stage II of the disease.
At stage II (subcompensation), symptoms of emptying prevail in dysuric manifestations (weak urine flow; having to strain when passing urine; difficulty starting urinating; inability to completely empty the bladder, and dribbling at the end of urination). Increased infravesical obstruction at this stage leads to dystrophic detrusor changes and its ability to actively pass urine during urination decreases. The residual urine volume is more than 50 mL; the function of kidneys and upper urinary tract decrease and the patient may develop complications. Further progression of the disease leads to decompensation.
At stage III (decompensation), complications largely caused by detrusor decompensation, atrophy, and fibrous lesions prevail in the clinical manifestations. The complications include paradoxal incontinence, when the bladder is overfilled and urine leaks through the urethra. Another complication is ureterohydronephrosis developing because of urine retention in the decompensated bladder and upper urinary tract. Ureterohydronephrosis eventually leads to nephrosclerosis and chronic kidney disease.
The most popular scale for urinary dysfunction symptoms is the International Prostate Symptom Score (I-PSS), which is interpreted as mild (0–7), moderate (8–19), and severe (20–35). This score is often used in addition to a subjective assessment of the patient’s quality of life using the Quality of Life (QoL) Question with the score ranging from 0 (very good) to 6 (terrible).
Despite the fact that the proportion of patients with symptomatic BPH/LUTS who are prescribed conservative therapy due to symptoms of urination disorders has increased recently, the basic treatment that allows radical treatment of this disease is surgical intervention. Today, transurethral resection of the prostate is still the generally accepted gold standard surgical treatment. This statement is explained by the high efficacy of this management method for infravesical obstruction, relatively low trauma, quick postoperative patient recovery, and the possibility of repeated intervention without significantly increasing the risk for the patient. However, some postoperative complications and long-term outcomes of surgical treatment indicate the importance and necessity of adequate preparation of patients with BPH for the proposed surgery [6]. The goal is to improve the quality of patient selection for surgical treatment and to improve the outcomes of surgical treatment in patients with BPH/LUTS.
In patients with BPH who have undergone transurethral resection of the prostate, various early and late postoperative complications are detected, including common purulent complications (see Table 1). The most common complications are postoperative cystitis (9.4%), acute pyelonephritis (6.18%), epididymo-orchitis (0.6 to 13%), and funiculitis (0.29%). The risk of postoperative purulent complications in patients is higher in case of comorbid BPH-associated chronic prostatitis [6]. In addition, chronic prostate inflammation exacerbates the LUTS, aggravating the clinical manifestations of BPH and creating difficulties in diagnosing the underlying condition.
Table 1. Complications of transurethral resection of the prostate
Complication | Frequency, % |
Bleeding requiring transfusion of blood components | 2 (0–9) |
TUR syndrome (water intoxication) | 0.8 |
Acute urinary retention | 4.5 |
Hemorrhagic tamponade | 4.9 |
Urinary tract infections | 4.1 |
Urinary incontinence | 2.2 |
Bladder neck sclerosis | 4.7 |
Urethral strictures | 3.8 |
Retrograde ejaculation | 65.4 |
Erectile dysfunction | 6.5 |
Thus, timely diagnosis and treatment of comorbid chronic prostatitis allows to reduce LUTS, improving objective findings and the quality of life of a patient with BPH. In this case, we can more accurately assess the role of BPH itself in the clinical manifestations of LUTS in these patients, determine the actual stage, and, consequently, choose the best treatment. Diagnosis and treatment of chronic prostatitis in patients with BPH during their preparation for surgical treatment is intended to improve the course of the early and late postoperative period and limit postoperative complications.
Benign prostatic hyperplasia and comorbid chronic prostatitis as a clinical issue
According to clinicians, chronic prostatitis is detected in patients with BPH in 46.7% to 99% cases [7–9] and up to 96.7% of cases, according to pathology studies [10]. The inflammation in the prostate gland in patients with BPH is most often aseptic and can be categorized into category III and IV according to the classification of the National Institutes of Health (NIH). BPH may also be accompanied by chronic bacterial prostatitis (chronic kidney disease, category II).
It is well known that in addition to infectious agents, a local factor associated with impaired prostate microcirculation and deterioration of its function and dynamics in vesicoureteral urodynamic disorders (urethroprostatic reflux) plays an important role in the pathogenesis of chronic prostatitis.
Chronic inflammation in the prostate tissue is associated with degenerative changes in the nervous system and disuse of the capillaries accompanied by pelvic lympho- and hemodynamic and prostate circulation disorders. This phenomenon has a special status and name in the literature (prostatic ischemia). These changes are recorded as decreased peak blood flow velocity during duplex ultrasound of the prostate gland in patients with chronic prostatitis. The severity of the above findings directly correlates with the severity of LUTS [11–13]. However, the comorbid prostate inflammation is often not evaluated properly when examining a patient with BPH. In Russian Clinical Guidelines 2017, chronic prostatitis is mentioned only in the context of differential diagnosis of BPH. We believe that it is caused by the following:
- Clinical manifestations of BPH has a certain similarity with chronic prostatitis;
- LUTS, detected in prostate gland cases using various types of questionnaires, including the international I-PSS score, are not highly specific in diagnosing BPH;
- Prostate inflammation with BPH, regardless of its severity, is not always verified by prostatic secretions tests, including the Meares–Stamey test.
High prevalence of chronic prostate inflammation in patients with BPH and the similarity of clinical symptoms of chronic prostatitis and BPH are a valid argument for improving the diagnosis of the underlying disease, i.e. symptomatic BPH/LUTS. This approach to the issue allows us to consider the treatment of comorbid prostatitis in BPH cases as pathogenetically reasonable.
Treatment of comorbid chronic prostatitis may reduce LUTS in patients with BPH and chronic prostatitis, which is important for specifying the origin of dysuria in the clinical manifestations [4]. In the preoperative preparation of patients with BPH for surgical treatment, the treatment of prostate inflammation is critical to prevent intra- and postoperative complications, including common macrohematuria, acute urinary retention, infectious and inflammatory diseases of the reproductive system and lower urinary tract, and long-term irritative symptoms after surgery.
Causes of Chronic Prostatitis in Benign Prostatic Hyperplasia
The classification of the US National Institutes of Health (NIH, 1995; see Table 2) is still widely used to assess variant chronic prostatitis.
Тable 2. Classification of chronic prostatitis (NIH, 1995)
Category I | Acute bacterial prostatitis |
Category II | Chronic bacterial prostatitis |
Category III | Chronic nonbacterial prostatitis |
Category IIIA | Inflammatory chronic pelvic pain syndrome |
Category IIIB | Noninflammatory chronic pelvic pain syndrome (prostatodynia) |
Category IV | Asymptomatic inflammatory prostatitis |
Infravesical obstruction is a major etiological factor of chronic prostatitis in BPH cases. Progressive increase in the prostate volume contributes to narrowing of the prostatic urethra and urine retention, which is usually considered as mechanical and dynamic pathogenetic components of infravesical obstruction. Infravesical obstruction is accompanied by increased urine flow restriction and higher intraurethral pressure during urination. This creates turbulence in the urine flow promoting urethroprostatic reflux considered by many authors as the main cause of comorbid chronic prostatitis. In turn, intraprostatic reflux causes a chemical inflammation in the acinar and alveolar structures of the altered (hyperplastic) prostate.
The enlarged prostate observed in BPH cases is accompanied by changes in the tissue architecture of the gland. Due to the pronounced parenchymal proliferation, the normal mutual arrangement of the various parts of the prostate alters. This disrupts the evacuation of prostatic secretions and promotes further acini expansion. Such morphological changes contribute to inflammation and is a factor of chronic prostatitis, mainly aseptic (categories III and IV).
The inflammation in the prostatic tissues is accompanied by the production of a large amount of biologically active substances (inflammation mediators); it activates the kallikrein-kinin system and triggers the subjective perception of pain. High levels of biologically active substances in the prostate disrupts the nervous and humoral regulation of the muscular tone of posterior urethra, prostate gland, and bladder; it affects the physiological state of alpha-adrenergic receptors, exacerbating the symptoms of dynamic infravesical obstruction and LUTS [13]. The above factors deteriorate microcirculation, promote and maintain prostate edema, exacerbating the symptoms of mechanical infravesical obstruction.
The resulting secondary structural and functional (obstructive) detrusor changes progress and are aggravated by stress (direct catecholamine exposure) and ischemic (vascular spasm) damage to bladder smooth muscle. The corresponding fibers of the sympathetic nerves and adrenergic receptors is the efferent link of the stress reaction. Due to the increased exposure of the bladder to catecholamines, bioenergetic and functional detrusor disorders develop.
In some patients, the prostatic inflammation is accompanied by invasive bacterial infections (chronic prostatitis, category II). In the etiology of prostate alteration in BPH, the autoimmune component in chronic bacterial prostatitis and autoaggression also play a certain role.
Clinical Course of Benign Prostatic Hyperplasia With Comorbid Chronic Prostatitis
Latent inflammation in the prostate increases the activity of alpha-adrenergic receptors in the prostate, bladder neck, and bladder trigone, exacerbating irritative symptoms in patients with BPH and LUTS. Prostate swelling associated with inflammation and hyperreflexia of the external urethral sphincter exacerbates the symptoms of infravesical obstruction. Therefore, chronic prostatitis associated with BPH increases the I-PSS score and distorts the clinical manifestations of the underlying disease itself (BPH/LUTS).
As the symptoms of chronic prostatitis and BPH/LUTS are similar, in such cases, their mutual influence and aggravation makes differential diagnosis of the two conditions problematic (see Table 3). It is quite a difficult task to identify the predominant inflammation or mechanical infravesical obstruction in severe LUTS in patients with BPH and comorbid chronic prostatitis using evidence-based medicine methods. However, it is essential for determining adequate treatment for symptomatic BPH. In the premises, the following guidelines are advised to evaluate the clinical status of patients with BPH.
Table 3. Similarities between symptoms of benign hyperplasia and chronic prostatitis
Symptoms | Typical | |
For BPH | For chronic prostatitis | |
Urinary frequency | + | + |
Urinary urgency | + | + |
Weak urine flow | + | ± |
Nocturia | + | + |
Interrupted urine flow | + | + |
Difficulty urinating | + | ± |
Urodynia | - | ± |
Dysorgasmia | ± | ± |
Erectile dysfunction | ± | ± |
It is required to evaluate the activity of chronic prostatitis based on clinical and laboratory findings by understanding that the inflammation contributes to overdiagnosis of BPH and selecting an inadequate treatment for the patient.
Exacerbating LUTS, undiagonsed comorbid chronic prostatitis may lead to surgical intervention in patients with BPH without proper indications.
Surgical intervention on the prostate (transurethral resection of the prostate), with underlying latent chronic prostatitis and without the preoperative treatment indicated in such cases, is associated with a higher risk of hemorrhagic and purulent and septic complications both during surgery and in the early/late postoperative periods.
The postoperative period in such patients is usually characterized by long-term, persistent LUTS.
Preoperative preparation of patients with BPH aimed at diagnosis, detection of activity, and treatment of comorbid chronic prostate inflammation allows to determine more accurately the role of mechanical infravesical obstruction in the clinical manifestations of the disease, the origin of LUTS and improves the diagnosis of the underlying condition (BPH/LUTS).
CONTEMPORARY TREATMENTS OF CHRONIC PROSTATE INFLAMMATION
Conservative treatment of patients with chronic prostatitis and BPH should be focused on pathogenesis and relationship of these diseases [11, 14]. Before planning the treatment, it is required to determine the clinical stage of BPH, the clinical category of comorbid chronic prostatitis, and its activity [6]. Treatment of chronic prostatitis should be comprehensive and include antibacterial and non-steroidal anti-inflammatory drugs, alpha-blockers, and physiotherapy [4, 15]. It is also possible to prescribe vasoactive drugs and immunomodulators.
During the examination of patients with BPH and diagnosis of a clinical case, it is advisable to make a prostatic secretion culture test to determine the antibiotic susceptibility of the identified infection. In patients with BPH complicated by category II chronic prostatitis, antibacterial drugs should be prescribed based on bacteriological tests and bioavailability tests of these drugs for the prostate tissue. The frontline therapy in such cases includes fluoroquinolone, tetracycline, and macrolide antibiotics. For patients with chronic prostatitis, including nonbacterial prostatitis (category III), antibacterial empiric therapy is also advisable for up to 4–6 weeks.
To achieve an anti-inflammatory effect in the treatment of chronic prostatitis, it is advisable to use non-steroidal anti-inflammatory drugs (such as clinical doses of diclofenac and indomethacin) with decongestant and analgesic effects.
Treatments aimed at improving prostatic microcirculation and lymphatic drainage allow to decrease prostate and posterior urethral swelling, reduce pain and discomfort in the genital area and objectively improve urination and the patient’s quality of life.
The treatment regimen for chronic prostatitis of any category should include alpha-adrenergic receptor blockers (such as clinical doses of tamsulosin, terazosin, and doxazosin). This is particularly important for patients with BPH and comorbid chronic prostatitis because they have direct indications for this therapy as the frontline treatment for the underlying condition. The use of alpha-adrenergic receptor blockers in this group of patients is pathogenetically reasonable because:
- They have many alpha1-adrenergic receptors in the prostate and bladder neck;
- The basic pathogenetic concept of LUTS in patients with BPH and chronic prostatitis coincides with the pathophysiological effects of α1-adrenergic receptors, i.e. a turbulent urine flow in the prostatic urethra due to insufficient opening of the bladder neck associated with increased activity of α1-adrenergic receptors;
- Increased activity of the sympathetic pelvic innervation, including α1-adrenergic receptors, detected in patients with chronic nonbacterial prostatitis;
- Suppressing LUTS caused by BPH has an obvious clinical effect.
It is considered appropriate to prescribe α1-adrenergic blockers (either alone or in combination with other drugs) for 1–6 months for category IIIB chronic prostatitis (chronic pelvic pain syndrome). It is also advisable to add 1-adrenergic receptor blockers in the combination therapy for category II chronic prostatitis (chronic kidney disease).
Understanding the pathogenesis and clinical symptoms of chronic prostatitis largely explains the high efficacy and necessity of widespread use of physiotherapy in the combination treatment of this disease, including the BPH-associated prostatitis [16–18].
INFLUENCE OF PHYSIOTHERAPY ON THE INFLAMMATION AND BENIGN PROSTATIC HYPERPLASIA
Treatment for chronic prostatitis should include combination therapy [19, 20], including various physiotherapy interventions on the prostate [21]. These methods are aimed at improving the drainage function of prostate ducts and prostatic microcirculation. The range of applied physiotherapy methods has expanded recently and new medical magnetotherapy, hyperthermic therapy, electrophoresis, vibration therapy, and other devices have been used in practice [22–26]. Physiotherapy is also used to treat symptomatic BPH with comorbid chronic prostatitis.
It is well known that the combined use of several physiotherapy interventions directly potentiates their therapeutic benefits and enhances the effect of combination treatments [27]. This allows us to bring down the exposure of each therapy and reduce the probability of side effects and complications.
Heat Therapy
Thermal exposures, including transrectal prostate hyperthermia, are considered a proven treatment for BPH during the active case follow-up and included in international treatment standards. In the accepted terminology, hyperthermia is defined as the induction and maintenance of temperature in the range of 40–45 ºC in biological tissues with a beneficial effect on hyperplastic tissue, activating microcirculation and local immunity. The same temperature setting is successfully used for chronic prostatitis, allowing to use this physical phenomenon as a therapeutic factor in BPH cases complicated by prostate inflammation [28].
Mechanical Vibration Therapy
The local physical (vibration) exposure of the prostate, periprostatic tissues, and neurovascular bundles passing through them stimulates the contractile ability of prostatic muscles and pelvic floor muscles, thus restoring their tone and promoting adequate evacuation of prostate secretions [24, 29]. The severity of prostatic congestion decreases due to the improved drainage of prostatic secretions. This effect helps to reduce LUTS and pain.
Magnetotherapy
Physiotherapies used to treat chronic prostatitis include a common magnetotherapy intervention. The use of various electromagnetic fields has some advantages over other physiotherapy methods. Magnetic field has the largest scope of effective therapeutic factors and least contraindications [20, 21, 23–25, 29–31]; it is advisable for use in chronic prostatitis and is not contraindicated in benign tumors.
The magnetic field exposure on tissues and organs has a wide range of biological benefits; it improves microcirculation and increases the lumen of small vessels, helping to accelerate blood flow. By opening small lymphatic vessels, it improves the outflow of lymph from the organ and reduces tissue swelling. Thus, local exposure to magnetic field improves microcirculation in organs and tissues with an obvious therapeutic effect [27]. The peripheral nervous system reacts to the magnetic exposure by decreasing receptor sensitivity, promoting the analgesic effect. The anti-inflammatory and analgesic effect of the magnetic field persists for up to 30–45 days after a course of treatment. The greatest therapeutic effect is observed with a pulsed electromagnetic exposure.
MAVIT: A DEVICE TO TREAT INFLAMMATORY PROSTATE DISEASES
Specifications
MAVIT (produced by Yelatomsky Instrument Plant JSC, Russia; registration certificate for a medical device No. FSR 2011/12161 dated June 26, 2017) is a Russian physiotherapy device used to treat chronic prostatitis, including in patients with BPH. This device has a combined effect of three physiotherapy methods (heat, mechanical vibration, and pulsed electromagnetic field) on the prostate and periprostatic tissues [32, 33]. The MAVIT device used to treat inflammatory prostate diseases consists of a power source connected to a household electrical network and an operating element (a rectal applicator (probe) connected to the power supply) (see Fig. 1).
Fig. 1. MAVIT: appearance.
The applicator is suppository-shaped to adapt it to the rectum and prostate syntopy. In the operating mode, the operating element introduced into the body (rectum) has a surface temperature of 38.5–42.0 ºС. In addition, the rectal probe emits a low frequency pulsed magnetic field with magnetic induction in the range of 3–30 mT and a frequency of 20–100 Hz (see Fig. 2). The frequency of the magnetic field in the MAVIT is close to that of biological objects, i.e. the resonant response of biological tissues. In addition, MAVIT has a mechanical radial vibration mode with a variable frequency of 20–100 Hz.
Fig. 2. Distribution of the magnetic field around the MAVIT rectal applicator.
Preparation of Patients with BPH/LUTS for Transurethral Resection of the Prostate
Preparation of patients with BPH for elective transurethral resection of the prostate includes the preoperative examination and preoperative treatment (if necessary). At the examination stage, in addition to clinical tests, it is required to evaluate special diagnostic parameters (including the total I-PSS score, QoL score, and blood prostate-specific membrane antigen, perform uroflowmetry) and a digital rectal examination of the prostate with the microscopic examination of prostatic secretions or urine sampled by prostatic massage. It is advisable to make an ultrasound of the kidneys, prostate, bladder, and evaluate the volume of residual urine. If indicated, it is advisable to make a prostatic secretion culture test for microflora and determine the antibiotic sensitivity. If indicated, it is advisable to make a prostatic secretion culture test for microflora and determine the antibiotic sensitivity. The findings allow to determine the BPH stage, detect comorbid prostate inflammation, its activity, specify the clinical category, and differentiate the condition from prostate cancer.
During the examination and preoperative treatment of patients, we recommend using an individual patient record (see Appendix).
For conservative treatment of comorbid chronic prostatitis in patients with BPH/LUTS, it is advisable to be guided by the following contraindications:
- Symptoms of paradoxal incontinence;
- Upper urinary tract complications caused by infravesical obstruction;
- Neurogenic urination dysfunctions;
- Cicatricial adhesion in the pelvis caused by surgical interventions on the prostate;
- Suspected prostate cancer;
- Prostatic abscess;
- Suspected prostate tuberculosis;
- Acute inflammatory rectum diseases;
- Rectum cancer;
- Drug idiosyncrasy.
MAVIT: Treatment Technique
After specifying the diagnosis of BPH/LUTS and the category of chronic prostatitis, patients undergo a course of 10 treatments using the MAVIT device prescribed every other day as monotherapy or as part of combination treatment. During the treatment, the patient must be lying on his side or back. The operating element is inserted into the patient’s rectum with the flattened surface facing the abdomen. First, put a condom on the applicator, having treated its external surface with sterile petroleum jelly. The duration of one treatment is 30 min. This therapy should be combined with anti-inflammatory drugs, alpha-blockers, and antibiotics based on the prostatic secretions culture test.
After the course of treatment, patients should be examined using the above tests (except for prostate-specific membrane antigen and kidney ultrasound) to determine the progression of the disease and specify the BPH stage. If indications for surgical treatment are identified or indications for surgical treatment persist, patients should be offered an elective surgery.
Efficacy of MAVIT Treatment in Patients with Benign Prostatic Hyperplasia and Comorbid Chronic Prostatitis
All patients with BPH undergo clinical examination and, if indicated, are treated for comorbid chronic prostatitis to prepare for the elective transurethral resection of the prostate or open adenomectomy. The efficacy of this treatment was evaluated based on immediate and long-term outcomes in a group of 107 patients with a clinical diagnosis of stage II BPH and category II, IIIA, IIIB, and IV chronic prostatitis (US NIH classification). The diagnosis was based on the International Prostate Symptom Score (I-PSS), QoL score, prostate-specific membrane antigen blood test, digital rectal examination of the prostate, prostate ultrasound, residual urine volume, uroflowmetry, prostatic secretions culture test for microflora, and antibiotic sensitivity test [32]. The preoperative combination treatment included alpha-blockers, non-steroidal anti-inflammatory drugs, and antibacterial drugs (in patients with category II chronic prostatitis based on prostatic secretions culture test). Preference was given to fluoroquinolone, macrolide, and tetracycline antibiotics with good bioavailability for prostatic tissue. The recommended duration of antibiotic therapy was 4 weeks. The preoperative treatment in preparation for transurethral resection of the prostate should be targeted at chronic prostatitis. For this purpose, it is advisable to use physiotherapy with the MAVIT device. A portable medical device allows for outpatient treatment supervised by a physician.
A randomized comparative clinical study related to the efficacy of a combination treatment for chronic prostatitis in patients with category II BPH was conducted at the Urology and Nephrology Center as part of their preparation for elective transurethral resection of the prostate [6, 32]. The study involved 45 patients referred to urology departments for elective surgical treatment for category II BPH. The patients were divided into the treatment (25 participants) and control (20 participants) groups. Patients with acute comorbid chronic prostatitis, patients diagnosed with prostatic and/or bladder neck sclerosis, and patients with stones in the prostatic and bladder stones were excluded from this study [6, 32]. Patients in the treatment group were prepared for elective transurethral resection of the prostate in accordance with these recommendations. During preoperative preparation, all patients received non-steroidal anti-inflammatory drugs, antibacterial drugs, alpha-blockers, and physiotherapy using the MAVIT device. The course included 10 treatments, 30 min each, every other day. Examination of patients in the treatment group before and after the combination treatment showed positive changes in clinical findings, including a lower volume of residual urine, a higher volumetric rate of urine flow, and reduced LUTS. All patients reported the improved quality of life (see Table 4).
Table 4. Dynamics of clinical parameters in patients with benign hyperplasia and chronic prostatitis who received treatment in the mode of preoperative preparation for transurethral resection of the prostate using the MAVIT device (n=25)
Clinical parameter | At baseline | After treatment | р |
Frequency of urination at night | 4.42±0.29 | 2.22±0.25 | <0.01 |
I-PSS | 23.58±1.27 | 16.98±1.57 | <0.01 |
QoL | 4.36±0.15 | 3.28±0.2 | <0.01 |
Leukocyte count in prostatic secretions, per HPF | 42.8±9.7 | 16.4±3.33 | 0.01–0.05 |
Maximum urinary flow rate, mL/s | 7.64±0.65 | 10.6±0.74 | <0.01 |
Volume, mL | 156.7±10.35 | 107.2±11.9 | <0.01 |
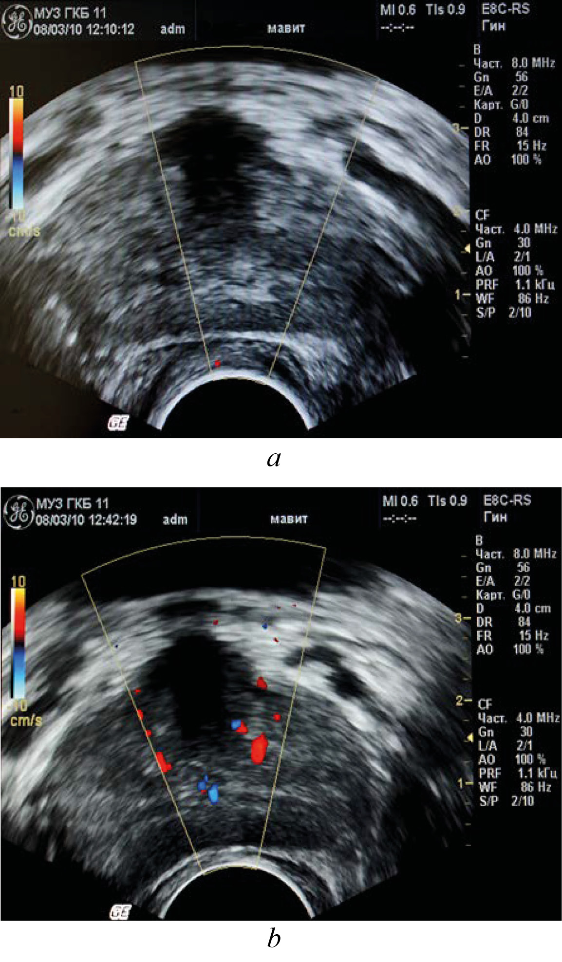
To evaluate prostatic blood flow after a local physiotherapy treatment using the MAVIT device, 10 patients had transrectal (color Doppler mapping) ultrasound of the prostate before and after the treatment, which showed improved microcirculation in the prostate tissue. MAVIT therapy resulted in a pronounced reaction of improved circulation throughout the vascular basin (see Fig. 3). The average linear peak velocity in the studied subgroup increased by 1.1 times and the resistance index decreased by 1.2 times compared to the baseline. The average vascular density increased by more than 2.5 times.
Fig. 3. Dopplerogram of the prostate before (a) and after (b) the session of physiotherapy on the device MAVIT.
A follow-up examination of patients immediately after the course of treatment showed a decrease in volume of residual urine by an average of 49.5 mL, an increase in the average urination rate from 7.64 to 10.6 mL/s, and a reduced detrusor instability in uroflowmetry. It is worth noting that good health status and the recorded objective clinical improvement allowed to discontinue surgical treatment in 5 patients, who were withdrawn from the study. Transurethral resection of the prostate was performed in 20 patients of the treatment group, who underwent preoperative preparation in accordance with these recommendations. During the surgery and in the early postoperative period, no complications were recorded in any case. All patients could urinate by themselves at 4–6 days and were discharged from the hospital at 7–10 days with restored urination.
The control group included 20 patients diagnosed with category II BPH. Patients were also referred to the urology departments of our Urology and Nephrology Center, where they underwent elective transurethral resection of the prostate as needed. All patients in both groups underwent morphological examination of the removed prostate tissue. When evaluating the findings, it was revealed that morphological signs of inflammation in the prostate tissue were expressed largely in patients in the control group compared to the preoperative preparation group. The inflammatory reaction presented by diffuse lymphocytic and histiocytic infiltration (mainly perivascular) with various degrees of transformation into fibroblastic cells, focal fibrosis, and lymphoid follicle accumulations concentrated mainly near the destroyed cyst cavities, with secretions diffused into the stroma. It is worth noting that the removed tissues had more or less inflammatory changes in all patients in both groups. The degree of these changes did not correlate with the leukocyte count in prostatic secretions.
In the postoperative period, all study participants underwent a follow-up examination at 3 weeks, 2 and 6 months after transurethral resection of the prostate. A comparative analysis of outcomes in the treatment and control groups showed the reassuring postoperative period in all patients. However, the objective urination function was better and more stable in the group of patients undergoing combination treatment using the MAVIT device (see Fig. 4–8).
Fig. 4. Dynamics of the average frequency of nighttime urination in the compared groups. Here and in Figs. 5–8: ТУРП ― transurethral resection of the prostate.
Fig. 5. Dynamics of the average I-PSS in the compared groups.
Fig. 6. Dynamics of average QoL in the compared groups.
Fig. 7. Dynamics of the average maximum urinary flow rate in the compared groups.
Fig. 8. Dynamics of the average residual urine volume in the compared groups.
All patients showed a reduced or no dysuria symptoms and reported a subjective urination improvement and reduced pain in the genital area. Improved urination was also recorded during the examination, including the I-PSS, uroflowmetry, prostate ultrasound, residual urine, and transrectal (color Doppler mapping) ultrasound.
The positive treatment effect in the study groups was achieved by a personalized approach to evaluating the symptoms of BPH and chronic prostatitis and the role of prostate inflammaton in the development of LUTS in patients with BPH. Combination approach to the treatment of chronic prostatitis (a combination of pharmacotherapy and physiotherapy) allowed to achieve a high clinical and subjective efficacy of the therapy.
The prostate tissue and the nerve structures of the pelvic nerve plexus and the prostatic plexus (plexus prostaticus) are simultaneously exposed to several physical factors, including hyperthermia, vibration, and a pulsed magnetic field. The prostatic plexus is localized in the periprostatic tissue along the posterior and lateral surfaces of the prostate; it is easily accessible to the operating applicator element of the MAVIT device. A number of prostatic plexus branches innervate the prostatic and membranous urethra. The nerve trunks passing through the prostatic plexus are involved in the motor innervation of the muscle that lifts the anus (mm. levator ani) and the striated urethral sphincter, i.e. formations that passively and actively control urination. In the studied prostate conditions, including BPH with comorbid chronic prostatitis, the above structures are to some extent involved in the development of LUTS.
Local physiotherapy on the prostate, its innervation apparatus, and periprostatic tissue enhance the effect of antibacterial and anti-inflammatory treatment for chronic prostatitis, which, in aggregate, relieve the symptoms of dysuria in patients with BPH/LUTS.
CONCLUSION
The current understanding of the pathophysiology of chronic prostatitis leading to the development of the associated symptoms does not support monotherapy because there are no effective monotherapy options. Management of patients with chronic prostatitis involves a multimodal treatment based on the patients’ individual clinical phenotypes.
A literature review and our research indicate the need for targeted diagnosis of comorbid chronic prostatitis in patients with BPH and allow us to recommend the described treatment and diagnostic plan as a mandatory addition to the standard patient preparation for elective surgery. In the pathogenesis of symptomatic BPH, comorbid chronic prostatitis is often the main cause of LUTS. Combination anti-inflammatory therapy for chronic prostatitis reduces the manifestation of LUTS. In patients with symptomatic BPH and comorbid chronic prostatitis, such approach at the conservative stage of the disease is pathogenetically reasonable and, under certain conditions, allows for adequate preparation of the patients with BPH for elective surgery. Depending on the type of inflammation, combination therapy for chronic prostatitis, including antibiotics, alpha-blockers, non-steroidal anti-inflammatory drugs, and physiotherapy, should be prescribed.
Our study allows us to recommend the MAVIT device to treat chronic prostatitis, including in patients with category I–II BPH. This physiotherapy device provides the local exposure of three therapeutic factors on the prostate. The magnetic field helps relieve inflammation, swelling, and pain; it helps improve trophism and tissue recovery. Mechanical vibration restores pelvic floor muscle tone and reduces irritative symptoms of LUTS. Heat improves circulation, metabolism in tissues, accelerates the elimination of tissue metabolites, and has an antispasmodic effect.
Thus, the high efficacy of the certified medical device MAVIT, clear indications for the treatment, and their relative ease-of-use allow us to recommend this physiotherapy device for use in hospitals, clinics, rehabilitation centers, and for home use under the supervision of a urologist.
ADDITIONAL INFORMATION
Funding source. This work was not supported by any external sources of funding.
Competing interests. The author declare that she has no competing interests.
Authors' contribution. All authors made a substantial contribution to the conception of the work, acquisition, analysis, interpretation of data for the work, drafting and revising the work, final approval of the version to be published and agree to be accountable for all aspects of the work. O.B. Loran ― study concept and design; A.B. Zhiborev ― analysis of literary sources, analysis and interpretation of data, writing the article; M.Yu. Gerasimenko ― study concept and design, approval of the final version of the manuscript; I.V. Lukyanov ― collection and statistical processing of material, analysis of literary sources, writing the article; T.N. Zaitseva ― analysis of literary sources, writing the article; I.S. Evstigneeva ― data analysis and interpretation.
About the authors
Oleg B. Loran
Russian Medical Academy of Continuous Professional Education
Email: olegloran@gmail.com
ORCID iD: 0000-0002-7531-1511
SPIN-code: 7604-8138
MD, Dr. Sci. (Medicine), Professor, academician of the Russian Academy of Sciences
Russian Federation, MoscowAlexey B. Zhiborev
Ryazan State Medical University
Email: zhiborev@yandex.ru
ORCID iD: 0000-0001-5638-470X
SPIN-code: 6065-4495
MD, Cand. Sci. (Medicine), Associate Professor
Russian Federation, RyazanMarina Yu. Gerasimenko
Russian Medical Academy of Continuous Professional Education
Author for correspondence.
Email: mgerasimenko@list.ru
ORCID iD: 0000-0002-1741-7246
SPIN-code: 7625-6452
MD, Dr. Sci. (Medicine), Professor
Russian Federation, MoscowIgor V. Lukianov
Russian Medical Academy of Continuous Professional Education
Email: i.v.lukianov@mail.ru
ORCID iD: 0009-0004-1549-8216
SPIN-code: 3916-3854
MD, Cand. Sci. (Medicine), Professor, Associate Professor
Russian Federation, MoscowTatiana N. Zaytseva
Russian Medical Academy of Continuous Professional Education
Email: zaytn@mail.ru
ORCID iD: 0000-0001-7123-1568
SPIN-code: 9416-4428
MD, Cand. Sci. (Medicine), Associate Professor
Russian Federation, MoscowInna S. Evstigneeva
Russian Medical Academy of Continuous Professional Education
Email: evstigneevais@mail.ru
ORCID iD: 0000-0001-9128-0965
SPIN-code: 5163-7726
MD, Cand. Sci. (Medicine), Associate Professor
Russian Federation, MoscowReferences
- Urology. Russian clinical recommendations. Ed. by Y.G. Alyaev, P.V. Glybochko, D.Y. Pushkar. Moscow: GEOTAR-Media; 2017. 544 р. (In Russ.)
- Pushkar DY, Rasner PI. Lower urinary tract symptoms and benign prostatic hyperplasia. Urologiia. 2017;(3-S3):4–17. EDN: YZMCGP.
- Urology. National guide. Ed. by N.A. Lopatkin. Moscow: GEOTAR-Media; 2013. 608 р. (In Russ.)
- Ergakov DV, Martov AG. Modern view on conservative therapy of lower urinary tract symptoms in men. Urologiia. 2015;(5):97–103. EDN: UYMTUT
- Magistro G, Wagenlehner FM, Grabe M, et al. Contemporary management of chronic prostatitis/chronic pelvic pain syndrome. Eur Urology. 2016;69(2):286–297. doi: 10.1016/j.eururo.2015.08.061
- Zhiborev AB, Martov AG. The effectiveness of the integrated approach to the treatment of chronic prostatitis, including in patients with benign prostatic hyperplasia. Urologiia. 2018;(4): 81–87. EDN: YLVSFN doi: 10.18565/urology.2018.4.81-87
- Parsons JK. Benign prostatic hyperplasia and male lower urinary tract symptoms: Epidemiology and risk factors. Curr Bladder Dysfunct Rep. 2010;5(4):212–218. EDN: YOFYQI doi: 10.1007/s11884-010-0067-2
- Girman CJ, Jacobsen SJ, Guess HA, et al. Natural history of prostatism: Relationship among symptoms, prostate volume and peak urinary flow. J Urol. 1995;153(5):1510–1515. doi: 10.1016/s0022-5347(01)67448-2
- Rusakov VN, Solodnikova LD, Zakharov VE, Vorontsov MV. Combination of prostatitis and benign prostatic hyperplasia in elderly and senile persons. Andrology and genital surgery. 2002;(3):117. (In Russ.)
- Huang XH, Qin B, Liang YW, et al. [LUTS in BPH patients with histological prostatitis before and after transurethral resection of the prostate. (In Chinese)]. Zhonghua Nan Ke Xue. 2013;19(1):35–39.
- Laurent OB. Diagnosis and differential diagnosis of benign prostatic hyperplasia. Benign hyperplasia of the prostate gland: A collection. Ed. by N.A. Lopatkin. Moscow; 1999. С. 56–70. (In Russ.)
- Atamanova EA, Andryukhin MI, Vasilenko IA, Makarov OV. Prevention of thrombohemorrhagic complications in the postoperative period in patients with benign prostatic hyperplasia. Urologiia. 2017;(1):5–11. EDN: YJAMBD doi: 10.18565/uroL2017.L5-n
- Pereverzev AS, Kozlyuk VA. A new concept in the pathophysiology and management of lower urinary tract symptoms due to prostate adenoma. In: Men’s health: Materials of the VI Russian congress with international participation, 16–18 June 2010. Moscow; 2010. Р. 159–160. (In Russ.)
- Kogan MI, Belousov II, Shangichev AV. Whether dyslipidemia plays the pathogenetic role in the development of noninflammatory chronic prostatitis/chronic pelvic pain syndrome? Urologiia. 2012;(5):46–52. EDN: PIDHBZ
- Laurent OB, Lukyanov IV. Practical urology: what’s new in the treatment of benign prostatic hyperplasia ― an expert’s perspective. Russkii meditsinskii zhurnal. 2008;16(29):1988–1990. (In Russ.) EDN: TIMANH
- Konchugova TV, Kulchitskaya DB, Kiyatkin VA, et al. Modern methods of physiotherapy in the treatment of patients with chronic prostatitis complicated by erectile dysfunction. Voprosy kurortologii, fizioterapii i lechebnoi fizicheskoi kul’tury. 2020;97(6-2):58. (In Russ.) EDN: MYNTAK
- Talberg PI, Mazina SE, Andryukhin MI. Complex therapy of chronic prostatitis. Sovremennye problemy nauki i obrazovaniya. 2015;(4):415.
- Shatokhin MN, Teodorovich OV, Konoplya AI, et al. Physiotherapeutic methods in the treatment and rehabilitation of patients with chronic prostatitis. Physiotherapist = Fiziotherapeutist. 2018;(1):60–67. EDN: XVBHFR
- Allen S, Aghajanyan IG. Benign prostatic hyperplasia treatment with new physiotherapeutic device. Urol J. 2015;12(5):2371–2376. EDN: XLFLDL
- Kessler TM, Mordasini L, Weisstanner C, et al. Sono-electro-magnetic therapy for treating chronic pelvic pain syndrome in men: A randomized, placebo-controlled, double-blind trial. PLoS One. 2014;9(12):e113368. doi: 10.1371/journal.pone.0113368
- Katibov MI, Alibekov MM. Transrectal ozone and magnetic therapy for treatment of chronic bacterial prostatitis. Urologiia. 2019;(6):6–11. EDN: QQCOWO doi: 10.18565/urology.2019.6.6-11
- Kiyatkin VA, Konchugova TV, Yakovlev MY, Bobkov AD. The application of the combined resonance-wave therapy for the treatment of the patients presenting with chronic bacterial prostatitis. Voprosy kurortologii, fizioterapii i lechebnoi fizicheskoi kul’tury. 2015;92(5):40–44. EDN: VIYXUN
- Tereshin AT, Bakurov EE, Dolaev RK, et al. The pathogenetic substantiation for the application of systemic magnetic therapy in the treatment of the patients presenting with chronic prostatitis and erectile dysfunction. Fizioterapiya, bal’neologiya i reabilitatsiya = Russ J Physical Ther Balneotherapy Rehabilitat. 2016;15(3):151–154. EDN: WBFOAR doi: 10.18821/1681-3456-2016-15-3-151-154
- Burenina IA, Khasanov VV. The efficiency of running magnetic field appliance in complex treatment of patients suffering from chronic prostatitis. Vestnik sovremennoi klinicheskoi mediciny = The bulletin of contempopary clinical medicine. 2008;1(1):27a–29. (In Russ.) EDN: NQXKFR
- Kolmatsuy IA, Levitskiy EF, Barabash LV. Qhronooptimization of physiotherapy at sick of the chronic prostatitis. Resort Med. 2014;(4):41–47. EDN: UMHFZF
- Churakov AA, Popkov VM, Zemskov SP, et al. Combined physiotherapy of chronic infectious prostatitis. Urologiia. 2007;(1):61–65. EDN: HYVVYR
- Bogolyubov V.M. Physiotherapy and balneology. A guide in 3 books. Moscow: Binom; 2008. (In Russ.)
- Apolikhin OI, Voronovitsky VD, Gonsales EN. Experience with application of almgp-01 device for local transrectal microwave hyperthermia of the prostate in the treatment of chronic prostatitis. Urologiia. 2010;(5):39–41. EDN: MVOFWZ
- Коren’kov DG, Marusanov VE. Cytokines profile changers after magnetic-heat-vibromassage in chronic abacterial prostatitis with erectile disfunction. Androl Genital Surg. 2016;17(3):57–62. EDN: XAMCWP doi: 10.17650/2070-9781-2016-17-3-57-62
- Kulikov AG, Kasyan GR, Pushkar DY, et al. Extracorporeal magnetic stimulation of the pelvic floor neuromuscular apparatus in urological practice. Study guide. Moscow; 2017. 43 р. (In Russ.)
- Neimark AI, Aliev RT, Raigorodsky YM, Makhova GE. The application of vibromagnetic therapy with the use of the avim-1 device for the management of prostatitis with concomitant pelvic pain syndrome. Fizioterapiya, bal’neologiya i reabilitatsiya = Russ J Physical Ther Balneother Rehabilitat. 2013;(3):11–14. EDN: QAYWOX
- Zhiborev BN, Zhiborev AB, Rakcheev BY. Use of a physiotherapeutic device for complex treatment of inflammatory diseases of prostate. Kazan Med J. 2017;98(4):622–628. EDN: ZBKFRB doi: 10.17750/KMJ2017-622
- Sekirin A, Molochkov V, Martynova N, et al. Experience with thermomagnetic vibration massage in the combination rehabilitation of patients with chronic prostatitis. Vrach. 2019;30(9):73–77. EDN: YIQCUN doi: 10.29296/25877305-2019-09-16
Supplementary files











