The effectiveness of ultrasound therapy and phonophoresis in the treatment of ankylosing spondylitis
- Authors: Al-Zamil M.K.1,2, Stepanovich M.А.1,2, Kulikova N.G.1,3, Vasilieva E.S.4,5
-
Affiliations:
- Peoples' Friendship University of Russia
- Brain and Spine Clinic
- National Medical Research Center for Rehabilitation and Balneology
- Petrovsky National Research Centre of Surgery
- Moscow State University of Medicine and Dentistry named after A.I. Evdokimov
- Issue: Vol 21, No 4 (2022)
- Pages: 273-280
- Section: Original studies
- Published: 06.12.2022
- URL: https://rjpbr.com/1681-3456/article/view/111869
- DOI: https://doi.org/10.17816/rjpbr111869
- ID: 111869
Cite item
Abstract
BACKGROUND: In Bekhterev's disease, an autoimmune inflammatory process develops in the intervertebral joints and paravetebral muscles and leads to severe pain syndrome and progressive fusion of articular surfaces. Anti-inflammatory and analgesic therapy should be carried out daily with the use of large doses of nonsteroidal anti-inflammatory drugs. With the progression of the disease, drug therapy is not effective enough to relieve pain and to restore the volume of movement in the joints. In this regard, the use of non-drug treatment is a necessary measure for the treatment of such patients.
AIM: comparison of the effectiveness of phonophoresis and ultrasound in the treatment of pain syndrome in patients with ankylosing spondylitis.
MATERIALS AND METHODS: 30 patients with Bekhterev's disease were included in our study. All patients were found to carry the HLA antigen and high value of C-reactive protein with an increase in the rate of erythrocyte sedimentation. Radiographs revealed signs of arthrosis of the sacroiliac joint and signs of arthritis and arthrosis of the intervertebral joints of the spine in one or several departments. The severity of the pain syndrome was 9.4 points on the visual analog scale (VAS) and 31.1 points on the McGill Pain Questionnaire (MPQ). 10 patients underwent ultrasound therapy, 10 patients underwent phonophoresis with karepain and 10 patients underwent placebo (Simulation of ultrasound exposure).
RESULTS: The analgesic effect of ultrasound therapy was 57.9% at rest, 55.3% with spinal movement. The overall reduction in pain syndrome determined by MPQ was 50%, 49.54% in the sensory class and 51.8% in the affective class. Regression of pain syndrome against the background of the use of phonophoresis with karipain was 60.4% at rest, 54.5% with spinal movement. According to MPQ, the pain syndrome decreased by 46.7% in the sensory class and 52.8% in the affective class and by 49.5% in general. In patients who underwent a placebo course, the pain syndrome according to VAS and MPQ remained without significant dynamics.
CONCLUSION: The significant effectiveness of ultrasound therapy and phonophoresis in the treatment of severe pain syndrome in of patients with ankylosing spondylitis has been proven, but it was not possible, to identify significant differences in the analgesic effect between ultrasound therapy and phonophoresis.
Full Text
ОБОСНОВАНИЕ
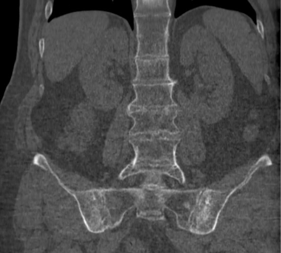
Болезнь Бехтерева (анкилозирующий спондилоартрит) ― разновидность хронического ревматического воспаления. Воспаление поражает в первую очередь позвоночник и крестцово-подвздошные сочленения (рис. 1), которые соединяют позвоночник с тазом. Болезнь обязана своим названием русскому неврологу Владимиру Михайловичу Бехтереву, впервые описавшему это состояние в начале XIX века [1].
Рис. 1. Рентгенограмма пояснично-крестцового отдела позвоночника пациента с болезнью Бехтерева: на снимке визуализируется анкилоз крестцово-подвздошных сочленений и поясничных позвонков.
Начальные стадии болезни характеризуются приступами выраженного болевого синдрома в ночное время и ригидностью при движении позвоночника ― в утреннее. Со временем развивается анкилоз (сращение) межпозвонковых суставов, в результате чего позвоночник оказывается как бы в жёстком корсете, ограничивающем его движении [2]. Это хроническое воспалительное состояние является разновидностью ревматического заболевания. Воспалительные изменения затрагивают в первую очередь межпозвонковые суставы позвоночника и крестцово-подвздошные суставы, межпозвонковые (фасеточные) суставы и паравертебральные мышцы. Суставы рук и ног при анкилозирующем спондилоартрите поражаются редко [3]. В 20–30% случаев страдают органы зрения: развиваются увеит, кератит, помутнение хрусталика, вторичная глаукома, в редких случаях ― атрофия зрительного нерва [4]. Для заболевания характерны также повышение скорости оседания эритроцитов и высокий уровень концентрации С-реактивного белка [5].
Как правило, болезнь Бехтерева развивается в возрасте ~40 лет [6], чему в настоящий момент времени нет обоснованных научных доказательств. В пользу аутоиммунной природы заболевания свидетельствует неадекватное обстоятельствам жизни включение защитных механизмов иммунной системы [7]. В развитии анкилозирующего спондилоартрита большое значение имеет генетическая предрасположенность: до 95% всех пациентов имеют специфический наследственный признак, известный как антиген HLA-B27.
Специфический белок HLA-B27, обнаруживаемый на поверхности иммунных клеток, относится к белкам главного комплекса гистосовместимости человека, который обеспечивает различные иммунные реакции [8]. Выявление подобного носительства ещё не доказывает наличие болезни Бехтерева, поскольку свойственно и другим серонегативным спондилоартритам. Например, при реактивном артрите (синдром Рейтера) антиген HLA-B27 выявляется у 75% пациентов, при псориатической артропатии ― у 50–60%, при ювенильном анкилизирующем спондилоартрите ― у 80–90%, при энтеропатическом артрите ― у 60–90%. Кроме того, антиген выявляется у 7–8% у пациентов с подагрой, ревматоидным артритом, септическим артритом [9, 10].
Начальные симптомы включают боль в поясничной области и ягодицах. Боль обычно возникает ночью и уменьшается при движении, заставляя пациента вставать ночью. Ещё один классический симптом ― скованность в позвоночнике после утреннего пробуждения (рис. 2). Эти жалобы развиваются медленно, в течение многих лет, и всё больше ограничивают движения позвоночника [4, 11].
Рис. 2. Типичная поза пациента с болезнью Бехтерева.
Лечение направлено на уменьшение симптомов и попытку сохранить как можно большую подвижность позвоночника. В настоящее время нет лекарства от болезни Бехтерева. Боль и воспаление лечат обезболивающими и противовоспалительными препаратами, а также специальными препаратами от ревматизма [1, 12].
Люди с болезнью Бехтерева должны каждый день делать зарядку и физиотерапию, чтобы сохранить подвижность позвоночника. Для снятия мышечного напряжения рекомендуются тепловые процедуры и массаж. В целом умеренные спортивные занятия, такие как беговые лыжи, скандинавская ходьба, езда на велосипеде, походы и плавание, могут помочь замедлить или уменьшить прогрессирование заболевания.
Цель исследования ― сравнение эффекта фонофореза и ультразвука при лечении болевого синдрома у пациентов с болезнью Бехтерева.
МАТЕРИАЛ И МЕТОДЫ
Дизайн исследования
Рандомизированное неконтролируемое экспериментальное клиническое исследование.
Критерии соответствия
Критерии включения: диагноз анкилозирующего спондилоартрита подтверждён после консультации ревматолога; возраст от 21 до 60 лет; боль и ограничение движения в позвоночнике; при рентгенологическом исследовании выявлены спондилит в одном из отделов позвоночника или во всех отделах и артрит крестцово-подвздошного сочленения (сакроилеит); выявление гена HLA-B27 при молекулярно-генетическом исследовании; выраженность боли по ВАШ превышает 7 баллов; длительность болезни превышает 3 мес; эпизоды высокого уровня С-реактивного бека и СОЭ в анамнезе.
Критерии невключения: наличие других факторов, которые могут быть причиной болевого синдрома в позвоночнике; психические заболевания; травмы позвоночника и таза; перенесённые инсульт, травмы спинного мозга, черепно-мозговая травма и рассеянный склероз; сирингомиелия; сердечная недостаточность; установленный кардиостимулятор или другая имплантированная электронная система; признаки тромбоза глубоких вен или тромбоэмболии; ревматоидный артрит, подагра, псориаз и артроз суставов нижних конечностей; атеросклероз нижних конечностей; наличие аллергии на применяемые препараты; парез нижних конечностей; беременность; тромбофлебит, хронические дерматозы в зоне воздействия; острые инфекционные заболевания; острые и гнойные воспалительные процессы; присутствие в зоне воздействия металлических материалов (протезы и штифты в костях и суставах).
Критерии исключения: развитие аллергических реакций на медикаментозные препараты, применяемые при фонофорезе; развитие побочных действий на применяемое лечение.
Условия проведения
Исследование выполнено на базе Клиники мозга и позвоночника в период с 01.02.2019 по 01.12.2022.
Описание медицинского вмешательства
У всех участников исследования (n=30) выявлены носительство антигена HLA и высокие показатели С-реактивного белка с увеличением скорости оседания эритроцитов, на рентгенограммах ― признаки артроза крестцово-подвздошного сочленения, артрита и артроза межпозвонковых суставов позвоночника в одном или нескольких отделах.
Болевой синдром в позвоночнике имел выраженный характер и составил в среднем в покое 6,7±0,3 баллов, при движении ― 9,1±0,6 баллов.
Больные были распределены на три группы: 1-я группа (n=10) получала фонофорез с Карипаином, 2-я группа (n=10) ― ультразвуковую терапию, 3-я группа (n=10) ― плацебо (без включения ультразвука).
Всем пациентам была назначена программа упражнений для позвоночника и тазобедренных суставов, включающая изотонические, изометрические упражнения и упражнения на растяжку (лечебная физкультура).
Ультразвуковая терапия заключалась в воздействии ультразвуковых волн (мощность 4,8 Вт; интенсивность 1,5 Вт/см2; несущая частота 3 МГц; коэффициент заполнения 100%) на паравертебральные точки. Длительность воздействия ― 2 мин на каждую точку. Общее время сеанса не более 20 мин. Количество сеансов 15, проводимых через день.
Фонофорез. Характеристика ультразвуковых волн и техника проведения не отличаются от применяемых в ультразвуковой терапии. Для фонофореза использован медикаментозный препарат Карипаин-гель.
В группе плацебо применялись ультразвуковые волны с очень низкой интенсивностью. Место воздействия ― паравертебральные точки, длительность воздействия ― по 2 мин на каждую точку. Общее время сеанса не более 20 мин. Количество сеансов 15, проводимых через день.
Методы регистрации исходов
Ультразвуковая терапия, фонофорез и плацебо проводились с помощью аппарата BTL-4000 Smart/Premium (Великобритания; регистрационное удостоверение № РЗН 2020/12648 от 24.11.2020; рис. 3).
Рис. 3. Ультразвуковое воздействие на паравертебральные точки L5–S1 справа с использованием аппарата BTL-4000.
Изучался объём движений в позвоночнике при сгибании, разгибании, наклоне в сторону и при поворотах. Степень болевого синдрома оценивалась с помощью визуальной аналоговой шкалы (ВАШ) и опросника боли Мак-Гилла (McGill Pain Questionnaire, MPQ).
Этическая экспертиза
Работа выполнена в соответствии с этическими нормами Хельсинкской декларации Всемирной медицинской ассоциации «Этические принципы проведения научных медицинских исследований с участием человека» с поправками от 2013 года. Все участники исследования были проинформированы о продолжительности и характере исследования. От всех обследованных лиц получено информированное согласие на проведение исследования и использование анонимизированных данных о состоянии их здоровья в научных целях.
Статистический анализ
Обработка результатов исследований проводилась с использованием пакета прикладных программ Statistica v. 7.0. Определяли средние величины вариационного ряда: среднее арифметическое (М), среднеквадратическое отклонение (σ) и стандартную ошибку среднего (m). Применяли разностный метод с вычислением t-теста достоверности различия результатов исследований по Стьюденту (p). Для оценки достоверности различий между процентными долями двух выборок применяли критерий Фишера (φ). Анализ динамики показателей представлен как в абсолютных цифрах, так и в процентах по отношению к исходным данным.
РЕЗУЛЬТАТЫ
Объекты (участники) исследования
В исследование включены 30 пациентов (13 женщин, 17 мужчин, средний возраст 39,9±3 года) с болезнью Бехтерева.
Основные результаты исследования
Динамика болевого синдрома по ВАШ. Результаты исследования болевого синдрома в покое и при движении отражены на рис. 4 и 5.
Рис. 4. Выраженность болевого синдрома в покое по визуальной аналоговой шкале (ВАШ) до и после лечения в группах наблюдения.
Рис. 5. Выраженность болевого синдрома при движении по визуальной аналоговой шкале (ВАШ) до и после лечения в группах наблюдения.
Снижение болевого синдрома в контрольной группе имело недостоверный характер и составило в покое в среднем 7,4% (p >1) и при движении 11,1% (p >1). На фоне применения ультразвуковой терапии болевой синдром регрессировал на 57,9% (p <0,05) в покое и на 55,3% при движении (p <0,05).
Полученные результаты при исследовании пациентов, прошедших курс фонофореза с Карипаином, достоверно не отличались от результатов при применении ультразвуковой терапии, при этом болевой синдром регрессировал в покое до 64,4% (p <0,05) и при движении до 54,5% (p <0,05).
Динамика болевого синдрома по MPQ. При исследовании болевого синдрома с помощью MPQ изучена динамика сенсорного и аффективного аспектов болевого синдрома до и после лечения. В сенсорном классе MPQ (рис. 6) болевой синдром имел выраженный характер и составил в среднем 16,2±0,3 балла.
Рис. 6. Выраженность болевого синдрома в сенсорном классе по опроснику боли Мак-Гилла (McGill Pain Questionnaire, MPQ) до и после лечения в группах наблюдения.
Болевой синдром уменьшился на фоне ультразвуковой терапии на 49,4% (p <0,05) и на фоне фонофореза на 46,7% (p <0,05). У пациентов контрольной группы показатели болевого синдрома сохранились без существенной динамики (p >1). При сравнении результатов, полученных в группах ультразвуковой терапии и фонофореза, достоверных отличий между ними не получено.
В аффективном классе MPQ (рис. 7) показатели болевого синдрома составили во всех группах в среднем 10,8±0,5 баллов. Признаки достоверного отличия между исследованными группами отсутствовали. На фоне проводимого лечения показатели аффективного класса регрессировали на фоне ультразвуковой терапии на 51,9%, на фоне фонофореза ― на 52,8%, в контрольной группе снижение болевого синдрома составило лишь 10,5% (p >1). Признаков достоверного отличия между группами ультразвуковой терапии и фонофореза не выявлено.
Рис. 7. Выраженность болевого синдрома в аффективном классе по опроснику боли Мак-Гилла (McGill Pain Questionnaire, MPQ) до и после лечения в группах наблюдения.
Такие же результаты были получены при суммировании всех показателей сенсорного, аффективного и эволютивного классов (рис. 8) с достоверным снижением болевого синдрома на фоне ультразвуковой терапии на 50% и фонофореза на 49,5%, с отсутствием достоверного эффекта применения плацебо в контрольной группе.
Рис. 8. Выраженность болевого синдрома во всех классах по опроснику боли Мак-Гилла (McGill Pain Questionnaire, MPQ) до и после лечения в группах наблюдения.
Результаты лечения с помощью электрофореза и фонофореза между собой существенно не отличались.
Нежелательные явления
Во время проведения ультразвуковой терапии и процедур фонофореза с Карипаином никаких побочных эффектов не зафиксировано.
ОБСУЖДЕНИЕ
Нет сомнения, что лечебная физкультура для пациентов с болезнью Бехтерева должна быть ежедневным обязательным занятием для предупреждения анкилоза межпозвонковых суставов, снижения болевого синдрома и восстановления объёма движения в позвоночнике. Однако выраженный болевой синдром является серьёзным препятствием для выполнения минимальной физической активности.
При исследовании болевого синдрома с помощью MPQ показатели аффективного класса имели высокий уровень, что свидетельствовало о тяжёлой степени аффективных расстройств у пациентов с болезнью Бехтерева. Вторичные аффективные реакции обусловлены не только выраженным болевым синдромом, но и хроническим и прогрессирующим течением болезни, ограничением движений в позвоночнике, инвалидизацией и затруднением при выполнении функциональных ролей в семье и на работе.
Ультразвуковая терапия является одним из безопасных методов лечения с минимальными побочными эффектами. Такой метод можно применять ежедневно для снятия болевого синдрома и снижения воспалительного процесса в паравертебральных мышцах и межпозвонковых суставах. Результатами данной работы подтверждена существенная роль ультразвуковой терапии в лечении пациентов с выраженным болевым синдромом. Анальгезирующий эффект по ВАШ составил в покое 57,9%, при движении позвоночника ― 55,3%; общее снижение болевого синдрома по опроснику MPQ ― 50%, в том числе 49,54% в сенсорном и 51,8% в аффективном классе.
В нашей работе не удалось выявить значимых отличий по анальгезирующему эффекту между ультразвуковой терапией и фонофорезом, в результате чего мы констатируем факт, что применение ультразвуковой терапии достаточно эффективно при лечении анкилозирующего спондилоартрита. Нанесение лекарственных препаратов между кожей пациента и ультразвуковым датчиком при фонофорезе не усиливает эффекта ультразвуковой терапии.
По нашему мнению, эффективность фонофореза обусловлена в первую очередь воздействием ультразвуковых волн, а не применяемыми лекарственными препаратами при фонофорезе. Такой же результат получен другими авторами при исследовании эффективности фонофореза и ультразвуковой терапии в лечении миофасциального болевого синдрома [13].
ЗАКЛЮЧЕНИЕ
При болезни Бехтерева аутоиммунный воспалительный процесс развивается в межпозвонковых суставах и паравертебральных мышцах, обусловливая выраженный болевой синдром с прогрессирующим сращением суставных поверхностей.
Антивоспалительная и анальгетическая терапия должны проводиться ежедневно с применением больших доз нестероидных противовоспалительных препаратов. При прогрессировании болезни медикаментозная терапия оказывается недостаточно эффективной для снятия болевого синдрома и восстановления объёма движения в суставах. В таких ситуациях инвалидизация становится неизбежным исходом, а качество жизни неуклонно падает до низкого функционального и психического уровня. В связи с этим применение немедикаментозных методов лечения является необходимой мерой для лечения таких пациентов.
ДОПОЛНИТЕЛЬНАЯ ИНФОРМАЦИЯ / ADDITIONAL INFORMATION
Источник финансирования. Авторы заявляют об отсутствии внешнего финансирования при проведении исследования.
Funding source. The authors declare no external funding for the study.
Конфликт интересов. Авторы декларируют отсутствие явных и потенциальных конфликтов интересов, связанных с публикацией настоящей статьи.
Conflict of interest. The authors declare no obvious and potential conflicts of interest related to the publication of this article.
Вклад авторов. Авторы подтверждают соответствие своего авторства международным критериям ICMJE (авторы внесли существенный вклад в разработку концепции, проведение исследования и подготовку статьи, прочли и одобрили финальную версию перед публикацией).
Authors' contributions. The authors confirm that their authorship meets the international ICMJE criteria (the authors made a significant contribution to the development of the concept, research and preparation of the article, read and approved the final version before publication).
About the authors
Mustafa Kh. Al-Zamil
Peoples' Friendship University of Russia; Brain and Spine Clinic
Author for correspondence.
Email: alzamil@mail.ru
ORCID iD: 0000-0002-3643-982X
SPIN-code: 3434-9150
MD, Dr. Sci. (Med.), Professor
Russian Federation, Moscow; PodolskMaria А. Stepanovich
Peoples' Friendship University of Russia; Brain and Spine Clinic
Email: m.stepanovich@mail.ru
ORCID iD: 0000-0001-5735-1555
Russian Federation, Moscow; Podolsk
Natalia G. Kulikova
Peoples' Friendship University of Russia; National Medical Research Center for Rehabilitation and Balneology
Email: alzamil@mail.ru
SPIN-code: 1827-7880
MD, Dr. Sci. (Med.), Professor
Russian Federation, Moscow; MoscowEkaterina S. Vasilieva
Petrovsky National Research Centre of Surgery; Moscow State University of Medicine and Dentistry named after A.I. Evdokimov
Email: alzamil@mail.ru
ORCID iD: 0000-0003-3087-3067
SPIN-code: 5423-8408
MD, Dr. Sci. (Med.), Professor
Russian Federation, Moscow; MoscowReferences
- Bridgewood C, Watad A, Cuthbert RJ, McGonagle D. Spondyloarthritis: new insights into clinical aspects, translational immunology and therapeutics. Curr Opin Rheumatol. 2018;30(5):526–532. doi: 10.1097/BOR.0000000000000529
- Kucybała I, Urbanik A, Wojciechowski W. Radiologic approach to axial spondyloarthritis: Where are we now and where are we heading? Rheumatol Int. 2018;38(10):1753–1762. doi: 10.1007/s00296-018-4130-1
- Mahmoudi M, Garshasbi M, Ashraf-Ganjouei A, et al. Association between rs6759298 and ankylosing spondylitis in iranian population. Avicenna J Med Biotechnol. 2018;10(3):178–182.
- Aloush V, Dotan I, Ablin JN, Elkayam O. Evaluating IBD-specific antiglycan antibodies in serum of patients with spondyloarthritis and rheumatoid arthritis: Are they really specific? Clin Exp Rheumatol. 2019;37(1):32–36.
- Van den Berg R, Jongbloed EM, de Schepper EI, et al. The association between pro-inflammatory biomarkers and nonspecific low back pain: a systematic review. Spine J. 2018;18(11):2140–2151. doi: 10.1016/j.spinee.2018.06.349
- Kivitz AJ, Wagner U, Dokoupilova E, et al. Efficacy and safety of secukinumab 150 mg with and without loading regimen in ankylosing spondylitis: 104-week results from measure 4 study. Rheumatol Ther. 2018;5(2):447–462. doi: 10.1007/s40744-018-0123-5
- Liang H, Tian X, Liu XL, et al. The comparative efficacy of group-versus home-based exercise programs in patients with ankylosing spondylitis: Protocol for a meta-analysis. Medicine (Baltimore). 2018;97(29):e11540. doi: 10.1007/s00296-018-4130-1
- Proft F, Poddubnyy D. Ankylosing spondylitis and axial spondyloarthritis: recent insights and impact of new classification criteria. Ther Adv Musculoskelet Dis. 2018;10(5-6):129–139. doi: 10.1177/1759720X18773726
- Rabelo CF, Baptista TS, Petersen LE, et al. Serum IL-6 correlates with axial mobility index (Bath Ankylosing Spondylitis Metrology Index) in Brazilian patients with ankylosing spondylitis. Open Access Rheumatol. 2018;10:21–25. doi: 10.2147/OARRR.S130176
- Watad A, Cuthbert RJ, Amital H, McGonagle D. Enthesitis: Much more than focal insertion point inflammation. Curr Rheumatol Rep. 2018;20(7):41. doi: 10.1007/s11926-018-0751-3
- Rahbar MH, Lee M, Hessabi M, et al. Harmonization, data management, and statistical issues related to prospective multicenter studies in Ankylosing spondylitis (AS): Experience from the Prospective Study Of Ankylosing Spondylitis (PSOAS) cohort. Contemp Clin Trials Commun. 2018;11:127–135. doi: 10.1016/j.conctc.2018.07.004
- Wang R, Ward MM. Epidemiology of axial spondyloarthritis: An update. Curr Opin Rheumatol. 2018;30(2):137–143. doi: 10.1097/BOR.0000000000000475
- Jay S, Doğan SK, Evcik D, Başer OC. Comparison the efficacy of phonophoresis and ultrasound therapy in myofascial pain syndrome. Rheumatol Int. 2011;31(9):1203–1208. doi: 10.1007/s00296-010-1419-0
Supplementary files










